Σανδαλο-προβλήματα: Αναγνωρίστε και αποφύγετέ τα
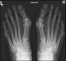
Τα αγαπημένα καλοκαιρινά μας υποδήματα μπορεί να δημιουργήσουν έντονες ενοχλήσεις στα νύχια των ποδιών και τα πέλματά μας. Δείτε τα συνηθέστερα σανδαλο-προβλήματα και πώς θα τα αντιμετωπίσετε.












